Before & After Photos
|
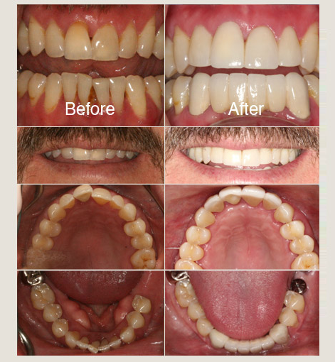
Our patients' smiles are the reflection of our many years of experience with cosmetic restorations. We are proud to provide almost all smile transformations within 2 weeks, and in certain cases, in less than a week! Not only do other dentists typically take 3-5 weeks for these lab procedures, their practices typically remove so much healthy tooth structure that uncomfortable temporaries become necessary. There is little doubt that a more beautiful smile will contribute to your success and self confidence. That is why many top beauty contestants consider Dr. Berland a contributor to their successes. Here are the smiles of some of the many patients from all walks of life who have experienced Dr. Berland's Smile Makeover. If you would like to see these cases sorted by category, please click on one of the following links. One Stop Bonding | Cosmetic Gum Lifts | No Prep or Micro Veneers More Involved Cases | Same Day Inlays/Onlays | Snap-On Smile | All-On-4 | Implants |
Click in the middle of the slideshow to pause and restart
20/20 - March 1999 Cosmetic Dentistry
The intended media clip requires a newer version of Adobe Flash® Player. Please visit www.adobe.com to download the latest version.
Positively Texas August 1999 A Cosmetic Smile Make Over
The intended media clip requires a newer version of Adobe Flash® Player. Please visit www.adobe.com to download the latest version.
Fox 4 Good Day - Teenage Beauty Queens Go Back To School August 2000
The intended media clip requires a newer version of Adobe Flash® Player. Please visit www.adobe.com to download the latest version.
