One Stop Bonding
|
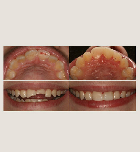
If you have a chipped, slightly misaligned, or otherwise imperfect tooth that needs cosmetic restoration, we may suggest one-appointment bonding. We can apply composite resin, shaded to blend with your tooth's color, to rebuild a pleasing shape to your tooth. After hardening the resin with a curing light, our dentists will artistically sculpt and polish the restoration. In just one visit, you can enjoy a beautiful new smile! Cosmetic bonding can be a viable, affordable alternative to porcelain veneers. Bonding is the least invasive way to correct a myriad of cosmetic dental problems in a single visit and with no injections. In the right situation, bonding and Deep Bleaching(TM) can be combined to create a sensational smile. This is not just dentistry, it's Dental Art! |
Click in the middle of the slideshow to pause and restart
