Eating Disorders
|
Providing state of the art preventative and restorative treatment in a friendly, caring, comfortable environment. We strive to work with our patients to restore their oral health, save their teeth, and make them smile! Eating disorders are expressions of a range of weight and food issues that both men and women can experience. They can include a complex combination of both psychological and physical problems. Different forms of eating disorders exist and all are serious. Bulimia nervosa, (binge/purge) anorexia nervosa (self-induced starvation) and the combination (bulimarexia) are the main eating disorders that affect your dental health. Lingual Veneers
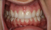
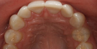
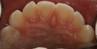
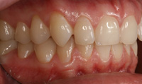
Lingual Veneers - Why? To restore worn-away enamel from acid erosion due to eating disorders.Lingual veneers are veneers that are placed on the inside, or lingual, surface of the front teeth. Rather than remove any healthy enamel from the remaining front and back sides of the teeth to do crowns, lingual veneers offer a conservative alternative for those who have experienced acid erosion, or tooth wear, of the lingual surfaces due to the detrimental effects of eating disorders such as bulimia. The goal is to build up and restore worn away teeth while preserving as much of the natural, beautiful and healthy tooth structure as possible. This strengthens and reinforces the tooth from further damage and drastically reduces sensitivity so a healthy diet and lifestyle can be resumed. Professional dental help for bulimia It is important to seek dental care if you have bulimia and to openly share with the dentist what is happening. Many dentists are caring professional people who understand the problems with bulimia and want to help. Without the dentist's help, the dental consequences of your bulimia can be severe. Dr. Berland can usually provide all of the dental services needed to restore the bulimic patient back to good dental health in a confidential and private manner. Additionally, Dr. Berland can help a bulimic patient manage the condition so that, even if they are continuing to have problems, the dental consequences of bulimia are lessened or eliminated. The Dallas Dental Arts services can be specially arranged for a bulimic patient so that all needed dental treatment can be intensively completed in a short period of time. This makes it possible for patients from out of town to complete their desperately needed dental care confidentially and in as few visits as possible. The Dallas Dental Arts can also assist in obtaining the funds for this care so everything that needs to be done can be completed. For more information on financial assistance, please click here. Dr. Berland has successfully cared for many patients suffering from bulimia and would be pleased to meet with you in a confidential consultation. Here, You can privately discuss your choices in dealing with your bulimia. Dr. Berland understands that you are struggling with bulimia and that it may take time to deal with the consequences of your bulimia. Privately speaking with Dr. Berland can be your first step in conquering your bulimia. Please consider calling (214)999-0110 and scheduling a consultation. You do not have to say why you are visiting, just that you would like a private consultation. If calling for an appointment is too embarrassing, you can first email Dr. Berland at drberland@dallasdentalspa.com or you can schedule a consultation and privately email him to let Dr. Berland know that you wish to talk about your bulimia. This young lady came to our office looking for a way to improve her smile, self-image and most importantly, her health. As a recovering bulimic patient, she had endured years of damage to her enamel from her previous history of eating disorders. In her case, the erosion wore all the way through her enamel and even into the soft, sensitive inner tooth layer, the dentin. She sought us out to find a way to restore her smile without further compromising the fragile condition of her teeth. Other dentists discussed filing her already thinned down teeth further and "strengthening" them with porcelain crowns. Our approach was completely different. Why take away more when you don’t have much to begin with? We recommended she try lingual resin veneers (on the backside of her teeth) followed by cosmetic one-stop bonding on the front and especially the edges of her teeth. This is a completely noninvasive and a purely additive procedure. She would be adding strength to her teeth, fortifying them rather than removing any of her remaining enamel, thereby reinforcing her teeth, improving her dental condition and creating the beautiful, yet natural, smile she desired. When the patient heard of this conservative treatment alternative, it made sense to her to preserve her teeth to maintain her health and restore her smile. Not only were the back sides of her teeth built out, length was added to replace what was worn over the years for a more youthful smile. After the no-shots, no-drilling, and no-pain appointment, her teeth were no longer sensitive to sweets, hot or cold. The patient was very pleased with her results. She not only gained a beautiful, new smile, but she also had a renewed confidence in herself and a reassurance of a healthier smile – and that means a healthier lifestyle as well! With all the focus of the media on diets, exercise equipment and personal care products, people are more concerned with their appearance and physical health than ever. In an effort to meet today's standard of beauty and "health", many people are quick to try the newest crash diet fad without ever realizing that this may, in fact, be the incorrect way to diet. These crash dieters who excessively fast, or try every new trend, tend to have a lack of, or decrease in certain vitamins, most notably Vitamins D, B-12 and calcium. They also tend to lack certain minerals and proteins in their diets. These are very important vitamins especially for the health of the teeth and gums. What can occur is that dieters tend to have a diet high in fruits which may contain a high content of natural sugars. These sugars tend to decay and erode the enamel of the teeth. Mints, used to combat the bad breath associated from Ketosis caused by an unbalanced protein diet and "so-called" Power Bars can further decay the teeth. Dieters also tend to take diet pills that may cause a decrease in saliva flow as a side effect. This decrease in saliva flow tends to increase the acid levels in the mouth which may cause an increased level of cavity formation. Antidepressants and decongestants have the same effect. Dr. Berland cares about the health and well-being of his patients. If you are currently on a diet that restricts certain food groups and/or you are taking a supplement or prescription diet aid, your oral health may compromised and in need of attention. Click here to see an example of the effects of eating disorders on your teeth. Please discuss with Dr. Berland at your next appointment any of these changes in diet or methods of weight control and any problems or discomfort you may be experiencing in your teeth and gums. Dr. Berland has many conservative measures to prevent and alleviate these conditions. Preventing a dental situation before it becomes a problem can save not only your teeth-- but, discomfort, time, money and your health. |

Lingual Veneers - Why? To restore worn-away enamel from acid erosion due to eating disorders.




